Appointment
X

Make An Appointment

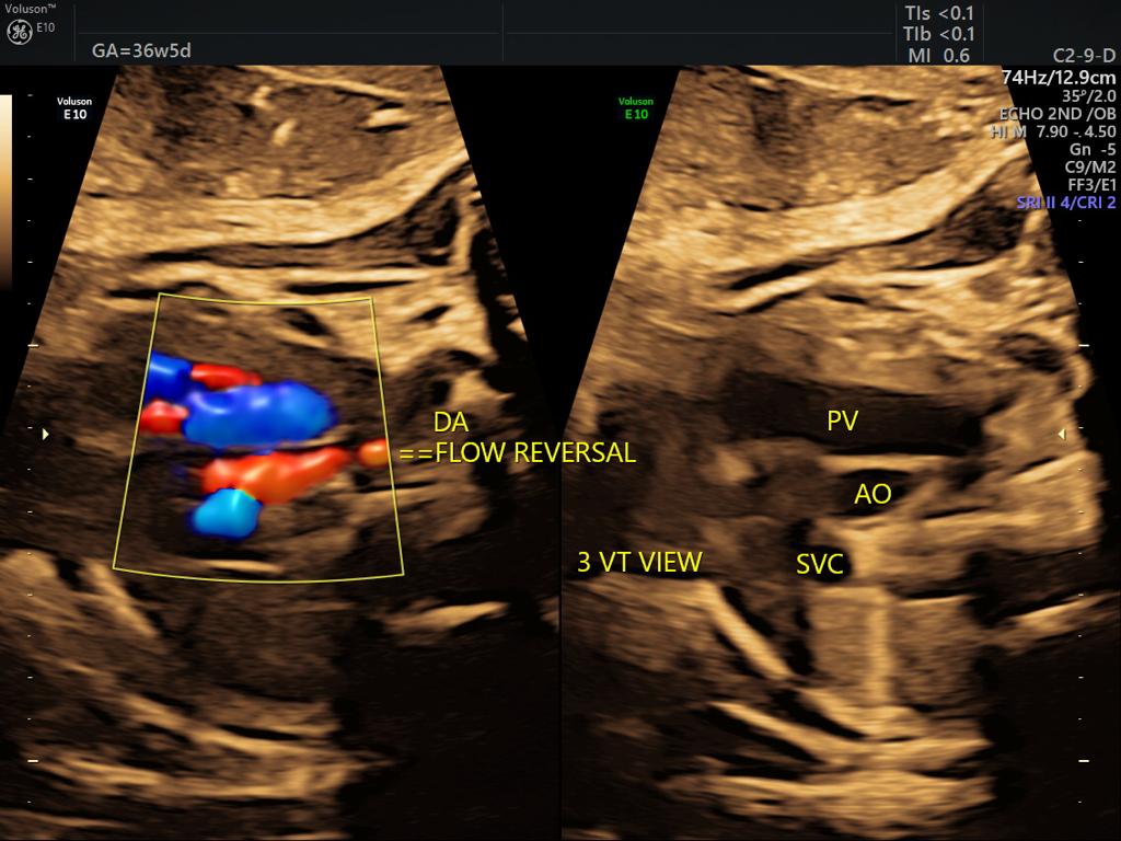
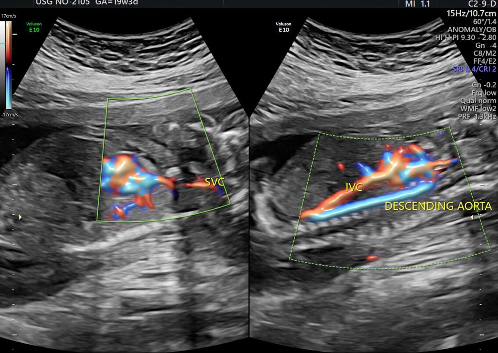
One of the most important scans done during pregnancy is during the second trimester, between weeks 18 and 20. This is called the targeted anomaly scan and is essentially a complete head to toe analysis of the fetus in a clinical perspective. Even though the scan might not be able to identify every single issue, however, gynaecology specialists in Guntur use this scan to validate and rule out any discrepancies with respect to most of the major organs in the Childs body including the brain, kidneys, bones, heart as well as the spinal cord and face, etc. The measurements with respect to every organ are taken also another important aspect of this scan is to identify how the placenta is placed and if it is tending towards creating an issue later on. Visit ultra sound test centers in Guntur at fertility hospitals.

The main aim of this detailed anomaly scan test in Guntur is to accomplish five important aspects, such as:

  • Support to the baby: If the placenta, amniotic fluid, etc are all as it is supposed to be to aid the growth of the baby.
  • Activity: To check if the baby’s movement and activity is as expected.
  • Organs status: This scan is also used to check if all the organs are formed properly.
  • Cervical status: To accomplish a full term pregnancy, the cervix must be of the right length and size to provide complete support for the pregnancy.
Anomaly Scan Test in Guntur

What anomalies could be detected during this scan?

Sometimes improper growth could be a cause of concern and on the other side, there are certain disorders which are identified in this scan, some could be rare congenital heart anomalies related to fetalbrain,face, thorax,heart,GIT,renal, skeletal etc

It could be possible that the fetus is not in the right position or due to the over weight of the mother, the fetus might not be positioned to adhere to the scan requirements. In such events your fetal medicine doctors in Guntur might prefer to repeat the scan in a day or two and sometimes a week or so. Also, it could be possible that incase of an anomaly noticed, the specialist could ask for a follow up scan to confirm on it or to note its growth, etc.

Anomaly Scan Test in Guntur
Anomaly Scan Test in Guntur
Anomaly Scan Test in Guntur
Anomaly Scan Test in Guntur
Anomaly Scan Test in Guntur
Get In Touch

We Are Happy To Help!